شایع ترین علائم بارداری خارج از رحم| از کجا بفهمیم بارداری خارج از رحم است؟ سوالات حاملگی خارج از رحم

بارداری خارج از رحم چیست؟
بارداری خارج از رحم (Ectopic Pregnancy) به وضعیتی گفته می شود که در آن جنین به جای رحم در محلی خارج از آن، معمولا در لوله های فالوپ، لانه گزینی می کند. این وضعیت می تواند خطرات جدی برای سلامت مادر ایجاد کند و به هیچ وجه قادر به ادامه بارداری ب ه صورت طبیعی نیست. تشخیص و درمان به موقع بارداری خارج از رحم می تواند از بروز عوارض شدید و حتی مرگ جلوگیری کند.
در این حالت، آزمایش بارداری ممکن است مثبت شود، ولی تخمک بارور شده نمی تواند در جایی غیر از رحم به درستی رشد کند. در واقع، وقتی تخمک بارور شده در جایی غیر از رحم لانه گزینی کند، به هیچ طریقی نمی توانیم آن را به داخل رحم ببریم و تنها راه، پایان حاملگی است؛ در غیر این صورت جان مادر در خطر م ی افتد.
طبق تحقیقات AAFP (آکادمی آمریکایی پزشکان خانواده) ۱ مورد از هر ۵۰ بارداری و ۲۰ مورد از ۱۰۰۰ تا حاملگی به صورت خارج از رحم است. حاملگی خارج از رحم یک وضعیت خطرناک است که نیاز به درمان اورژانسی دارد. بهتر است بدانید که این عارضه شایع ترین علت مرگ مادران در سه ماهه ی اول بارداری محسوب می شود.
علائم بارداری خارج از رحمی، معمولا بین هفته های ۴ تا ۱۲ بروز می کند. برخی از خانم ها در ابتدا هیچ علامتی ندارند. در این حالت فرد ممکن است تا زمانی که جواب آزمایشات اولیه را به پزشک نشان دهد یا بعد ها علائم جدی تری را تجربه کند، متوجه وضعیت خود نشود.
همچنین ببینید: بهترین زمان استفاده از بی بی چک چند روز بعد از پریود
شایع ترین علائم بارداری خارج از رحم
اولین علائم بارداری خارج از رحم ممکن است مشابه بارداری طبیعی باشد، اما ب ه مرور زمان علائم زیر بروز می کنند:
- درد شدید و یک طرفه شکم: معمولا در ناحیه لگن یا پایین شکم.
- خونریزی واژینال: که ممکن است سبک یا سنگین باشد.
- ضعف و سرگیجه: در موارد شدید تر ممکن است منجر به غش شود.
- درد شانه: به ویژه در صورت پارگی لوله فالوپ.
- مشکل در مدفوع و ادرار (یبوست، اسهال و تکرر ادرار)
- احساس درد یا ناراحتی هنگام دستشویی کردن
- ترشحات قهوه ای رنگ و آبکی از واژن
- درد لگن
- خستگی و ناتوانی
علل بارداری خارج از رحم
علل اصلی بارداری خارج از رحم عبارت اند از:
- عفونت های لگنی: مانند بیماری های التهابی لگن.
- سابقه جراحی لوله های فالوپ: که ممکن است منجر به انسداد یا آسیب شود.
- مصرف دارو های باروری: یا درمان های کمک باروری.
- سابقه بارداری خارج از رحم
- عفونت مقاربتی
عوامل خطر بارداری خارج از رحم
- سیگار کشیدن: که می تواند به سلامت لوله های فالوپ آسیب بزند.
- داشتن IUD (آی یودی): هر چند به ندرت.
- سابقه بارداری خارج از رحم: احتمال تکرار این نوع بارداری را افزایش م ی دهد.
تفاوت بارداری خارج از رحم با سقط جنین
بارداری خارج از رحم و سقط جنین هر دو شامل پایان غیرطبیعی بارداری هستند، اما تفاوت های مهمی دارند:
- محل لانه گزینی جنین: در بارداری خارج از رحم، جنین خارج از رحم قرار دارد، در حالی که در سقط جنین، لانه گزینی در رحم اتفاق افتاده اما جنین قادر به ادامه رشد نیست.
- روش درمان: بارداری خارج از رحم نیازمند درمان دارویی یا جراحی است، اما سقط جنین اغلب به صورت طبیعی یا با دارو قابل مدیریت است.
- علائم: هر دو وضعیت ممکن است با درد شکم و خونریزی همراه باشد، اما شدت و نوع درد می تواند متفاوت باشد.
همچنین ببینید: مدت زمان تاثیر قرص اورژانسی
تشخیص بارداری خارج از رحم با بیبی چک
بیبی چک معمولا نم ی تواند به تنهایی بارداری خارج از رحم را تشخیص دهد. هرچند تست های خانگی بارداری می توانند نتیجه مثبت نشان دهند، اما برای تشخیص دقیق باید به پزشک مراجعه و سونوگرافی و آزمایش خون انجام شود.
میزان بتا در بارداری خارج از رحم
میزان هورمون hCG (بتا) در بارداری خارج از رحم اغلب کمتر از میزان طبیعی است و به طور مناسب افزایش نمی ی ابد. پزشکان با آزمایش خون سریالی سطح بتا را بررسی می کنند.
عوارض بعد از عمل حاملگی خارج از رحم
عوارض ممکن است شامل موارد زیر باشد:
- عفونت ها
- چسبندگی لگن
- کاهش توان باروری
- خونریزی داخلی
تغذیه و مراقبت های بعد از عمل بارداری خارج از رحم
پس از عمل بارداری خارج از رحم، رعایت یک رژیم غذایی سالم می تواند به بهبودی سری ع تر کمک کند:
- مصرف مواد غذایی سرشار از پروتئین: مانند مرغ، ماهی و تخم مرغ.
- میوه ها و سبزیجات تازه: برای تامین ویتامین ها و مواد معدنی.
- آب رسانی مناسب: نوشیدن آب کافی برای حفظ سلامت بدن.
- پرهیز از غذاهای چرب و فرآوری شده: که می تواند روند بهبودی را کند کند.
روش های پیشگیری از بارداری خارج از رحم
- درمان به موقع عفونت ها
- پرهیز از مصرف سیگار
- رعایت بهداشت جنسی
- وزن ایده آل خود را حفظ کنید.
- به طور منظم برای انجام معاینات دوره ای به متخصص زنان مراجعه کنید تا از التهاب لوله های رحم جلوگیری شود.
همچنین ببینید: نام قرص برای پریود شدن فوری بدون نسخه
درمان بارداری خارج از رح
باتوجه به خطرات حاملگی خارج از رحم، باید هرچه سریع تر جنین خارج شود. درمان با توجه به محل لانه گزینی جنین و پیشرفت آن، به دو صورت دارویی و جراحی انجام می شود.
- درمان دارویی: استفاده از متوتروکسات برای توقف رشد جنین.
- درمان جراحی: در صورت پارگی لوله فالوپ یا خونریزی شدید.
جراحی
بعد از تشخیص حاملگی خارج از رحم، متخصص زنان درمان را بر اساس محل و سایز توده شروع می کند. بیمارانی که علائم حاملگی خارج از رحم ناپایدار و خطرناک دارند، باید سریعا جراحی شوند. جراحی به دو روش لاپاراسکوپی و جراحی شکمی انجام می شود که انتخاب آن به تشخیص پزشک بستگی دارد.
در هنگام جراحی، علاوه بر خارج کردن جنین، ناحیه آسیب دیده نیز ترمیم می شود. در صورتی که به لوله فالوپ آسیب زیادی وارد شده باشد، پزشک آن را در حین جراحی خارج می کند.
درمان دارویی
اگر در هفته ه ای اول بارداری، حاملگی خارج از رحمی تشخیص داده شود، ممکن است پزشک با تجویز دارو و زیر نظرداشتن بیمار، شرایط توقف رشد جنین را فراهم کند. داروی تجویزی فقط روی بافت خارج از رحم تاثیر می گذارد و اثر سوء روی لوله های رحم ایجاد نمی کند؛ بنابراین ضرر کمتری دارد. باتوجه به اینکه تشخیص بارداری خارج از رحم معمولا دیرتر اتفاق می افتد، پزشکان بیشتر درمان جراحی را استفاده می کنند.
در برخی از شرایط پزشک برای درمان حاملگی خارج از رحم، متوترکسات (Methotrexate) تجویز می کند. این دارو از رشد تخمک بارور شده جلوگیری می کند. پس از تزریق متوترکسات، برای تشخیص تاثیر گذاری آن، پزشک سطح هورمون HCG را بررسی می کند. اگر دارو موثر واقع شود، سطح هورمون HCG کاهش می یابد. لازم به ذکر است که تا چند ماه پس از مصرف این دارو نمی توانید باردار شوید.
اهمیت پیگیری بعد از درمان
پس از درمان بارداری خارج از رحم، انجام معاینات دوره ای و پیگیری وضعیت سلامت باروری اهمیت دارد. پزشک ممکن است آزمایش های اضافی برای اطمینان از تخلیه کامل بافت های باقی مانده تجویز کند.
سؤالات متداول درباره بارداری خارج از رحم
- آیا بعد از بارداری خارج از رحم می توان باردار شد؟ بله، اما ممکن است نیاز به مشاوره با پزشک داشته باشید.
- آیا بارداری خارج از رحم خطرناک است؟ در صورت عدم درمان می تواند خطرناک و حتی تهدیدکننده زندگی باشد.
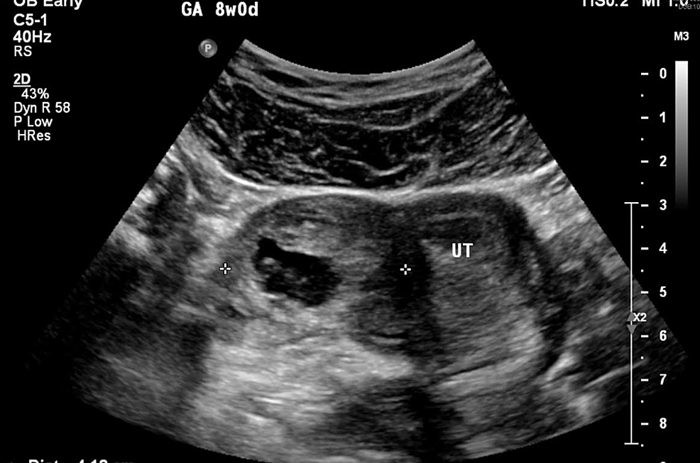
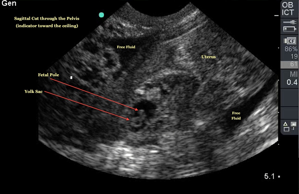
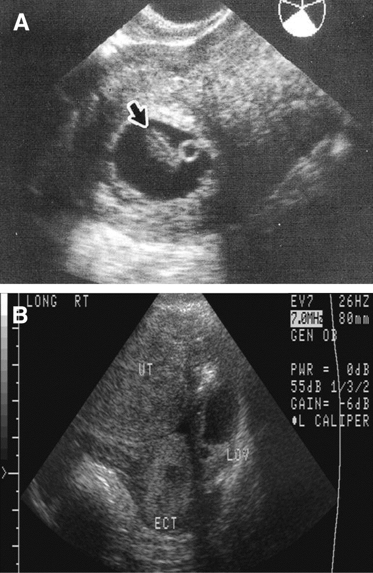
عکس سونوگرافی بارداری خارج از رحم
نتیجه گیری
بارداری خارج از رحم یک وضعیت اورژانسی است که نیاز به تشخیص و درمان سریع دارد. آگاهی از علائم اولیه و مراجعه به موقع به پزشک می تواند از عوارض جدی جلوگیری کند.
همچنین ببینید: چرا بعضی روز ها حرکت جنین کم می شود؟



